- BeautyParkトップ
- 全国のサロンでできる!気軽に歯を白くするセルフホワイトニング

歯医者まで行かなくても出来る
セルフホワイトニングがはやってます!
歯医者でのホワイトニングとの違いって?

-
料金が安い!

1回3000円から出来るお店もあり歯医者より気軽に試せます!
-
しみない!痛くない!

溶剤によるしみや痛みは無く、受けた後の食事制限も無し!
-
好きな時に好きな場所で!

全国の美容店舗に導入されているセルフホワイトニングは通いやすいお店で気軽に予約可能!

セルフホワイトニングが出来るサロンを探す
お探しのエリアを選択してください。
セルフホワイトニングで
笑顔にもっと自信を
-
- 安くて気軽に 3,000円~5,000円!?
- 通常のホワイトニングでは、約1万~10万円が相場ですが、セルフホワイトニングでは一回あたり5,000円前後、さらに回数券の購入によって、3,000円台での施術も可能になりました。
-
- 短時間・短期間 1回30分程度で施術終了!
- 一回あたりの施術時間は約30分。一回の施術でも効果は感じられますが、初めは1~2週間に一回、その後は1カ月に1回などを目安で効果を持続させることができます。
-
- 安心安全 しみない!痛くない!
- 施術に使われる溶剤は、食品や化粧品などでも使われている無機化合物で作られており、LEDライトも安全な波長域を使用しているため安心して施術を受けられます。
-
- 自然な白さ セルフ式だからこそ好みの白さに
- 予め施術回数が決まったものではなく、一回単位での施術が可能で、ご自身のペースに合わせて好き時間に、また好みの白さになるまでといった融通が利きます。
※歯本来の白さ以上に白くなることはありません。
憧れの美しい白い歯を
安心安全に低価格で
手に入れよう!
メディアでも話題、
痛くない歯のホワイトニング!
芸能人やモデルに人気のセルフホワイトニングをお手頃な価格でご利用できます!
その驚く効果を、ぜひご自身で体験してください♪
従来のホワイトニングよりお手軽な価格で体験出来ます。
セルフホワイトニングの効果
- 殺菌・抗菌
(虫歯原因菌の抑制) - 消臭機能
- 汚れ分解機能
- コーティング機能
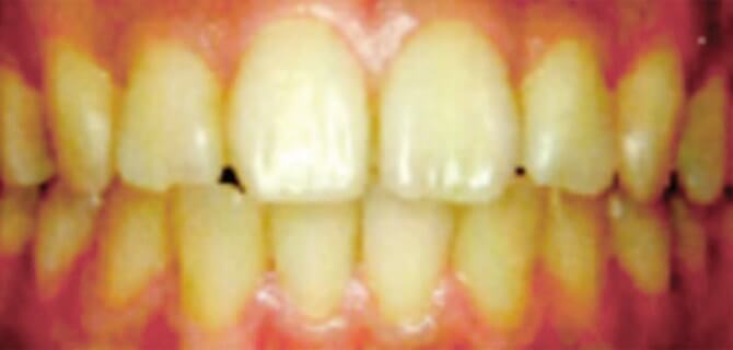
歯の白さはこんなに変わる!
差し歯、入れ歯・詰め物・被せ物、セラミックの色味にも効果が感じられます。
虫歯の治療中でもOK!見た目年齢マイナス5歳!
Before

After

簡単安心、セルフホワイトニングの流れ
-
STEP1カウンセリング
-
STEP2歯磨き
-
STEP3オーブナー装着
-
STEP4溶液の塗布
-
STEP5LED照射
-
STEP6歯磨き

セルフホワイトニングが出来るサロンを探す
お探しのエリアを選択してください。









編集部からの解説
加齢や喫煙、コーヒーや紅茶などの飲み物によって歯が黄ばんでしまった方や結婚式や就職活動などの特別なイベントを控えている方におすすめ!
歯を白くして口元の印象をアップさせるだけでなく、虫歯予防や歯周病予防にも効果が◎
自分に合ったホワイトニング方法で、皆様の口元の印象アップに繋がりますように♡